Skip to content
An embryo showing two pronuclei after fertilisation at Care Fertility
Ellissa BaskindMar 264 min read

PGT-A and PN assessment: understanding the next step in embryo testing

PGT-A and pronuclear assessment | Care Fertility
5:44

When you’re having IVF, a lot happens behind the scenes in the lab. Some of it you’ll hear about straight away, and some of it only comes up if it’s relevant to your treatment.

PGT-A is one of those options that isn’t right for everyone, but for some people, it can play an important role in how embryos are selected. More recently, PGT-A has evolved to include something called PN assessment, which gives embryologists extra information very early on in an embryo’s development.

This isn’t about changing your treatment plan overnight. It’s about using what we’ve learned through research and experience to make embryo testing more informative for those who choose it.


What is PGT-A?

PGT-A stands for Preimplantation Genetic Testing for Aneuploidy. It’s a test carried out on embryos created through IVF to check whether they have the correct number of chromosomes.

Each embryo should have 46 chromosomes, arranged in 23 pairs. Sometimes, embryos develop with too many or too few chromosomes. This can affect whether an embryo continues to develop, implants, or leads to miscarriage.

PGT-A is performed once an embryo reaches the blastocyst stage, usually on day five or six of development. At this stage, a small number of cells are taken from the outer layer of the embryo — the part that would later form the placenta. The cells that would develop into the baby are not disturbed.

The embryo is then frozen while the cells are analysed, and results are shared with your clinical team once testing is complete.


Why embryo testing can be helpful

Under a microscope, embryos can look very similar. An embryo that looks strong and well developed doesn’t always behave that way once transferred, and equally, embryos that appear less promising can sometimes surprise us.

PGT-A allows embryologists to look at the chromosomes inside the embryo’s cells, rather than relying on appearance alone. Results are usually described as:

Illustration of a euploid embryo
Euploid

Embryos with the expected number of chromosomes.

Illustration of a mosaic embryo
Mosaic

Embryos with a mix of cells, some with the correct number of chromosomes and some without.

Illustration of an aneuploid embryo
Aneuploid

Embryos where most or all tested cells have an incorrect number of chromosomes.

This information helps guide conversations about which embryos may be suitable for transfer, and which are unlikely to result in a healthy pregnancy.


What is PN assessment?

PN assessment looks at how an embryo was fertilised at the very start, before it begins dividing.

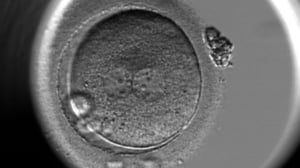
After fertilisation, embryos usually show two pronuclei (2PN) — one from the egg and one from the sperm. In the past, embryos that didn’t show this typical pattern were often labelled as abnormal and not taken further.

Embryo with 2PNWe look for two tiny structures called pronuclei. This tells us the egg and sperm have done their bit and fertilisation has taken place. 

However, we now understand that early fertilisation doesn’t always follow a neat rulebook. Some embryos that show atypical pronuclear patterns can still develop into healthy blastocysts and have the correct number of chromosomes. PN assessment, alongside PGT-A, allows these embryos to be tested properly rather than ruled out too soon.


Why adding PN assessment to PGT-A matters

Including PN assessment means embryologists can take into account how an embryo started and how it developed, not just one moment in time.

If an embryo shows atypical fertilisation but continues to grow well and reaches the blastocyst stage, PGT-A with PN assessment makes it possible to check whether it is chromosomally normal before making any decisions.

For some patients, this can mean:

  • More embryos being considered for testing
  • Fewer embryos discounted early on
  • A fuller picture of embryo development to support next steps

It’s one of the ways embryology continues to move forward — carefully, thoughtfully, and based on evidence.


Who is PGT-A for?

PGT-A isn’t recommended for everyone, and that’s important to say.

It may be discussed with people who:

  • Are older, where the chance of chromosomal changes is higher
  • Have experienced recurrent miscarriage
  • Have had repeated unsuccessful IVF cycles
  • Are creating several embryos and want support with embryo selection
  • Are using donor eggs or sperm and want additional information

Your doctor or embryology team will always talk through whether PGT-A is appropriate for your individual situation.


When might PGT-A be recommended?

PGT-A is something that’s discussed before treatment begins, during your consultation, if it’s likely to be relevant for you.

Your doctor will talk through whether PGT-A may be appropriate based on your medical history, age, previous treatment outcomes, and what you’re hoping to gain from embryo testing. This gives you time to understand what’s involved and decide whether it feels right for you.

If you choose to proceed with PGT-A, all embryos are allowed to develop to day five or six, when testing can be carried out if suitable blastocysts are available.

As part of this process, embryologists also observe early fertilisation patterns, including pronuclear (PN) status. If an embryo shows atypical fertilisation but continues to develop to blastocyst stage, PN assessment alongside PGT-A allows that embryo to be tested rather than excluded based on early appearance alone.

You’ll always be kept informed, and testing only goes ahead with your consent.


How we support your treatment at Care Fertility

At Care Fertility, we know that while every journey looks different, the goal is the same. Your treatment is shaped around you, with options like PGT-A with PN assessment considered when they’re appropriate. Our doctors, embryology teams, and genetic counsellors work closely together to support you throughout treatment.

avatar
Ellissa Baskind
Ellissa’s current role is as a Clinical Lead for Genomics as well as being a Consultant in Reproductive Medicine. She works for Care Fertility Leeds and at Leeds Teaching Hospitals NHS Trust (LTHT) where she is Clinical Lead for PGT and also Governance and Audit in Gynaecology.

RELATED ARTICLES